CT-Untersuchungen

Die Computertomographie (CT) ist ein medizinisches Verfahren, bei dem mithilfe von Röntgenstrahlen detaillierte Querschnittsbilder des Körpers erstellt werden. Dies ermöglicht Ärzten, Gewebe und Organe genauer zu untersuchen. Eingesetzt wird die CT bei sehr unterschiedlichen Krankheitsbildern. So können beispielsweise Tumore in verschiedenen Körperregionen erkannt und ihre Größe sowie Position bestimmt werden. Bei Unfällen und Verletzungen wird die CT genutzt, um Frakturen, Blutungen und andere Schäden aufzuspüren. Herz-Kreislauf-Erkrankungen können mittels CT-Angiographie diagnostiziert und beurteilt werden. Auch Veränderungen in der Lunge, wie etwa Lungenkrebs oder Lungenentzündungen, kann die Computertomographie aufdecken.

Das CT in unserer Praxis für Radiologie in Löbau zeichnet sich durch innovative Detektoren und Rekonstruktionsalgorithmen aus, die CT-Untersuchungen mit besonders wenig Strahlenexposition ermöglichen.
In manchen Fällen setzen wir Kontrastmittel ein, um Gewebe oder Blutgefäße besser sichtbar zu machen. Diese Substanzen, meist jodhaltige Lösungen, erhöhen den Kontrast auf den CT-Bildern und ermöglichen eine präzisere Diagnose. Kontrastmittel sind besonders hilfreich bei der Darstellung von Blutgefäßen, Tumoren und Entzündungen.

Download Info- und Aufklärungsbogen

CT der Nieren und Harnwege

Die Computertomographie (CT) ist das diagnostische Verfahren der Wahl, um Erkrankungen und Auffälligkeiten im Bereich der Nieren und Harnwege genauer zu untersuchen. Dazu zählen etwa Nierensteine, Nierentumore oder Harnwegsinfektionen, aber auch Verletzungen nach Unfällen oder Harnwegsobstruktionen. Aus den gewonnenen Daten können dreidimensionale Bilder der Nieren und umliegenden Organe generiert werden. Dadurch bieten sie eine umfassendere Sicht auf die anatomischen Gegebenheiten und ermöglichen die genaue Beurteilung von Aspekten wie Größe, Form und eventuelle Anomalien. Häufig wird ein Kontrastmittel verabreicht, um das Nierengewebe und die Harnausscheidung darzustellen.

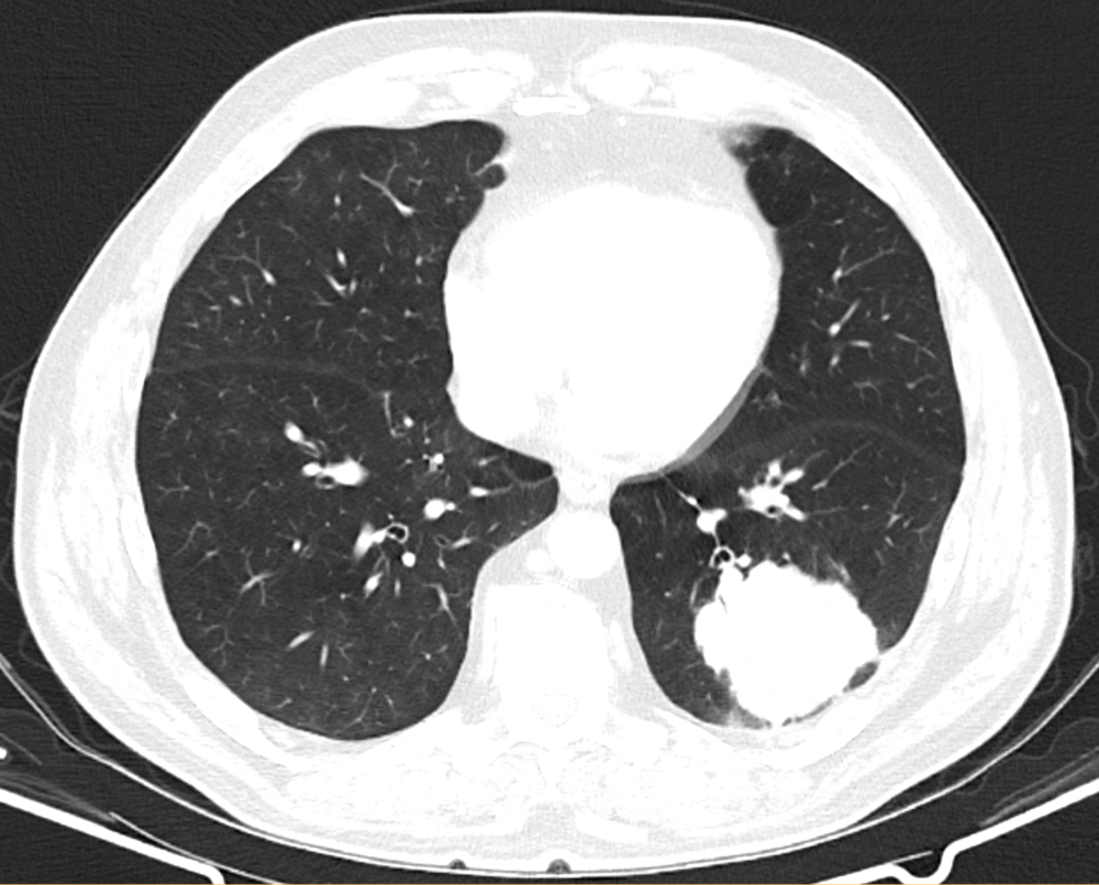
Hochauflösendes CT der Lunge

Unser hochauflösendes CT der Lunge ermöglicht eine präzise Darstellung der Lunge und ihrer kleinsten Strukturen, wie Bronchien und Lungenbläschen (Alveolen). Das Verfahren dient der Diagnose und Überwachung verschiedener Lungenkrankheiten wie Lungenentzündung, Lungenfibrose, Lungenkrebs, Bronchiektasen und anderer Atemwegserkrankungen. In einigen Fällen setzen wir während der CT-Untersuchung Kontrastmittel ein, um bestimmte Lungenanomalien besser sichtbar zu machen. Die hochauflösenden Querschnittsbilder der Lunge ermöglichen dem Arzt eine genaue Beurteilung von Lungenerkrankungen in einem frühen Stadium. Dies ist entscheidend für eine frühzeitige Diagnose und eine effektive Behandlung.

CT der Nasennebenhöhlen bei chronischer Sinusitis

Die Computertomographie (CT) der Nasennebenhöhlen wird als diagnostisches Verfahren eingesetzt, um die Nasennebenhöhlen und die umgebenden Strukturen im Kopfbereich detailliert zu visualisieren. Bei Patientinnen und Patienten mit chronischer Sinusitis kann die Untersuchung helfen, die Ursache der Symptome zu identifizieren und den Schweregrad der Erkrankung zu bestimmen. Die hochauflösenden Querschnittsbilder zeigen die Anatomie der Nasennebenhöhlen, mögliche Entzündungen, Verstopfungen oder andere Pathologien. Das CT der Nasennebenhöhlen ermöglicht Ärzten eine genaue Beurteilung des Zustands der Nebenhöhlen und deckt beispielsweise Entzündungen, Schwellungen, Polypen oder anatomische Anomalien auf. Diese Informationen sind entscheidend für die Diagnose und Behandlungsplanung bei chronischer Sinusitis.

CT aller Gelenke und der Wirbelsäule

Die Computertomographie (CT) der Gelenke und der Wirbelsäule ist ein bewährter diagnostischer Ansatz, um Knochen- und Gelenkstrukturen zu beurteilen. Die Untersuchung zielt vor allem darauf ab, die knöchernen Anteile der Gelenke und Wirbelsäule detailliert zu visualisieren, um Erkrankungen, Verletzungen, Entzündungen oder andere medizinische Probleme zu identifizieren. Abhängig von den individuellen Symptomen und der klinischen Indikation kann sie zur Diagnose von Beschwerden in verschiedenen Bereichen des Körpers verwendet werden, so etwa Schultern, Ellenbogen, Hüften, Knien und der gesamten Wirbelsäule. Damit unterstützt die Computertomographie beispielsweise die Diagnose von Arthrosen, Bandscheibenvorfällen, Frakturen oder Tumoren. Dem Arzt bietet das Verfahren somit eine wichtige Grundlage für die Diagnose und Behandlungsplanung.

CT-Untersuchung mit Artefaktreduktion

Artefakte sind unerwünschte Muster oder Rauschen auf CT-Bildern, die durch verschiedene Faktoren, vor allem aber durch Metallimplantate im Körper verursacht werden. Sie beeinträchtigen die Bildqualität und erschweren die Interpretation. Die INEA-Radiologie nutzt spezielle Algorithmen zur Artefaktreduktion. Dadurch werden klarere und präzisere Bilder erstellt und so die Genauigkeit der Diagnose, vor allem bei Gelenkprothesen, erhöht. Die CT-Untersuchung mit Artefaktreduktion kann in verschiedenen medizinischen Szenarien eingesetzt werden, insbesondere bei der Beurteilung einer Prothesenlockerung an Gelenken und dem Heilungsfortschritt eines versorgten Knochenbruchs.

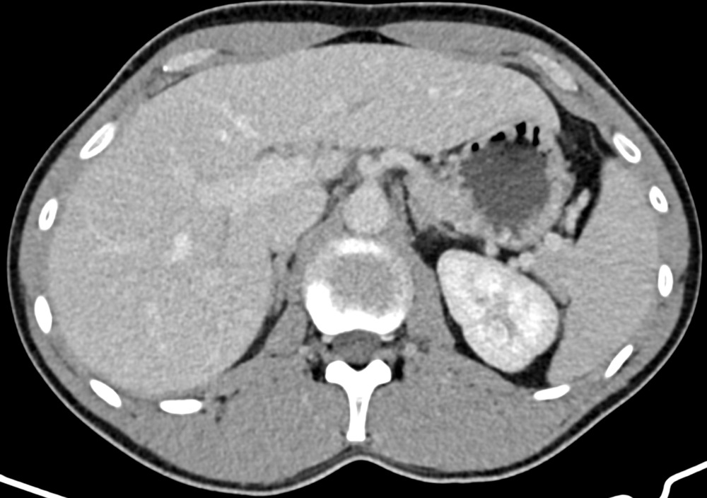
CT der Oberbauchorgane und des Magen-Darm-Traktes

Die Computertomographie (CT) der Oberbauchorgane und des Magen-Darm-Traktes zielt darauf ab, eine genaue Beurteilung von Organen wie der Leber, der Milz, der Bauchspeicheldrüse, der Gallenblase, des Magen-Darm-Traktes und der umgebenden Gefäße durchzuführen. Sie ermöglicht die Identifikation von Erkrankungen, Tumoren, Entzündungen oder anderen Anomalien in diesen Bereichen. Damit ist die CT ein wertvolles Instrument für die Diagnose von Erkrankungen der Leber- und Gallenwege, Pankreatitis, Tumoren, Divertikulitis und Darmverschluss. Die CT-Untersuchung des Bauchraumes ist im Vergleich zur MRT sehr schnell und dabei besonders für Patientinnen und Patienten geeignet, die schwer oder nur kurz die Luft anhalten können. Je nach klinischer Indikation entscheiden wir, ob die Anwendung eines Kontrastmittels erforderlich ist, um bestimmte Gewebe besser sichtbar zu machen. Die genauen Informationen aus dieser Untersuchung helfen Ihrem Arzt bei der Festlegung der Behandlungsstrategie.

CT des Kopfes zur Schlaganfall- und Unfalldiagnostik

In Akutsituationen wie Schlaganfällen und Unfällen kann die Computertomographie (CT) des Kopfes eine entscheidende Rolle bei der schnellen Diagnose und Behandlung spielen. Sie erstellt detaillierte Querschnittsbilder des Gehirns. Diese Bilder ermöglichen eine genaue Beurteilung der Gehirnstrukturen und liefern schnelle und präzise Informationen über den Zustand des Gehirns. Mögliche Schäden, Blutungen oder andere akute Veränderungen im Gehirn lassen sich so erkennen. Die CT des Kopfes ist ein äußerst schnelles Verfahren, das in Notfallsituationen lebensrettend sein kann. Sie wird nicht nur in Notfallsituationen, sondern darüber hinaus auch in der regulären diagnostischen Praxis eingesetzt, um neurologische Erkrankungen, Tumore oder andere Befunde zu untersuchen.

Erstdiagnostik und Nachsorge von Tumorpatienten

Bei der Erstdiagnose von Tumoren ist die Bestimmung des Ausbreitungsgrades (Staging) von großer Bedeutung. Hierbei wird festgestellt, wie sich das Wachstum des Tumors entwickelt hat und ob er bereits in andere Gewebe oder Organe gestreut hat. Die CT stellt hochauflösend diejenigen Organe und Strukturen dar, in welche sich Tumorzellen häufig ansiedeln. Dies ermöglicht eine präzise Diagnose und die Entwicklung eines individuellen Behandlungsplans. Daneben ist nach einer Tumorbehandlung die regelmäßige Nachsorge entscheidend, um sicherzustellen, dass keine Rückfälle oder Metastasen auftreten. Um Tumorpatienten zu entlasten, bietet unsere Praxis für Radiologie in Löbau Ihnen exklusiv die Möglichkeit, die MRT-Untersuchung oder kombinierte MRT- und CT-Untersuchungen mehrerer Organe an nur einem Tag vorzunehmen.

CT-Perfusionsdiagnostik der Nebennieren

Die CT-Perfusionsdiagnostik der Nebennieren ist ein diagnostisches Verfahren, das dazu dient, Tumore anhand ihres Durchblutungsverhaltens (Perfusion) genauer zu beurteilen. Gutartige Geschwulste der Nebennieren sind häufige Zufallsbefunde anderer Untersuchungen (sog. Inzidentalome) und werden mit dieser Methodik weiter abgeklärt. Daraus werden Planungen für Operationen oder Verlaufsuntersuchungen abgeleitet.

CT-Untersuchung der Zähne und Kiefer

Dental-CT, die computertomographische Untersuchung der Zähne und des Kiefers, ist ein spezialisiertes diagnostisches Verfahren zur genauen Beurteilung der Mund- und Kieferregion. Die durch die Computertomographie erstellten detaillierten Bilder von Zähnen, Kieferknochen, Zahnfleisch und angrenzenden Strukturen ermöglichen eine präzise Diagnose von Zahnproblemen, Kiefererkrankungen und implantologischen Planungen. Die Dental-CT wird in verschiedenen klinischen Situationen eingesetzt, wie der Implantatplanung, Diagnose von Zahnwurzelinfektionen, Beurteilung von Kieferknochenstruktur und -dichte sowie der Identifizierung von Kieferzysten oder Tumoren. Neben der detaillierten Diagnostik ermöglicht die Dental-CT Zahnärzten und Kieferchirurgen eine optimale Behandlungsplanung etwa bei Zahnimplantaten, Zahnextraktionen oder Wurzelkanalbehandlungen.

Rotations-CT

Die Rotations-CT wird in der Orthopädie bei der Untersuchung der Gelenkstellung der unteren Extremität eingesetzt. Dabei kann es sich um angeborene Veränderungen (sogenanntes X-Bein, O-Bein) oder erworbene Fehlstellungen, z.B. nach Totalendoprothesen (Gelenkprothesen) handeln. Durch die Darstellung der gesamten Beinachse bietet sie eine sehr genaue Möglichkeit der Gelenkwinkelbestimmung.

Ganzkörper-CT

Die Ganzkörper-CT ist eine umfassende diagnostische Untersuchung des Körperskeletts, die dazu dient knöcherne Anomalien bei bestimmten Erkrankungen festzustellen. Dazu zählen Erkrankungen des Knochenmarks, z.B. das multiple Myelom. Während der Ganzkörper-CT werden Sie auf einer Liege positioniert und in den CT-Scanner eingefahren. Die vom Scanner erstellten hochauflösenden Querschnittsbilder bieten eine umfassende Sicht auf die Anatomie und das Gewebe in Ihrem Körper.