MRT-Untersuchungen

Die Magnetresonanztomographie (MRT), häufig auch als Kernspintomographie bezeichnet, ist ein bildgebendes Verfahren, das Magnetfelder und Radiowellen verwendet, um detaillierte Bilder des Inneren des Körpers zu erstellen. Anders als bei Röntgenuntersuchungen oder CT-Scans werden keine ionisierenden Strahlen eingesetzt, das heißt, es werden Strahlen vermieden, die Gewebe- oder Genomschäden verursachen können.

Die MRT ermöglicht in der Diagnostik die Darstellung von Geweben und Organen in hoher Auflösung. Häufige Anwendungen sind die Untersuchung von Gehirn, Wirbelsäule, Gelenken, Herz und Bauchorganen. Eine MRT-Untersuchung ist daher besonders hilfreich bei der Diagnose von Erkrankungen des Nervensystems, orthopädischen Problemen und Tumoren. Die INEA-Radiologie nutzt innovative KI-Anwendungen, um Bildqualität und Untersuchungszeit zu verbessern.

Je nach spezifischer klinischer Fragestellung setzen wir Kontrastmittel ein, um die Sichtbarkeit bestimmter Gewebe oder Blutgefäße zu verbessern. Das Kontrastmittel wird intravenös verabreicht. Für manche Fragestellungen existieren auch kontrastmittelfreie Alternativen, darüber klären wir Sie im Vorfeld auf.

Die Magnetresonanztomographie ist ein leistungsstarkes diagnostisches Werkzeug, das bei vielen medizinischen Fragestellungen eingesetzt wird. Bei weiteren Fragen oder zur Terminvereinbarung für eine MRT-Untersuchung stehen wir Ihnen gerne zur Verfügung.

Download Info- und Aufklärungsbogen

MRT-Diagnostik bei Sport- und Arbeitsunfällen

In unserer Praxis für Radiologie in Löbau bieten wir die MRT-Diagnostik nach Sport- und Arbeitsunfällen als diagnostisches Verfahren an, um Arbeits- oder Sportverletzungen zu untersuchen. Dabei arbeiten wir mit regionalen Sportvereinen zusammen. Die MRT liefert Ihrem Arzt wertvolle Informationen, um eine individualisierte Behandlungsstrategie zu entwickeln, die auf Ihre spezifischen Bedürfnisse zugeschnitten ist. Durch ihre präzise Darstellung von Muskeln, Sehnen, Bändern, Knochen und anderen Geweben ermöglicht sie es, Verletzungen und Schäden detailliert zu beurteilen. So können etwa Knochenbrüche, Bänderrisse, Muskelzerrungen oder Gelenkschäden sichtbar gemacht werden. Ihr behandelnder Arzt kann mithilfe der MRT-Diagnose die Behandlung frühzeitig und gezielt planen und so die Weichen für eine schnelle Genesung stellen.

MRT der gesamten Wirbelsäule

Deformitäten der Wirbelsäule, also Verformungen, treten in verschiedenen Krankheitsbildern auf. Hier kann die Magnetresonanztomographie als leistungsstarkes diagnostisches Verfahren eingesetzt werden, um eine umfassende und präzise Darstellung der gesamten Wirbelsäule, einschließlich aller Wirbel, Bandscheiben und Nervenstrukturen zu liefern. Eine häufige Erkrankung der Wirbelsäule ist die Skoliose, eine seitliche Krümmung der Wirbelsäule, die Rückenschmerzen und Bewegungseinschränkungen verursachen kann. In der MRT können Ursache und Grad solch einer Skoliose genau bestimmt werden. Die frühzeitige Diagnose von Deformitäten ermöglicht Ihrem Arzt die Entwicklung eines individualisierten Behandlungsplans.

MRT der Gelenke

Die MRT spielt eine entscheidende Rolle bei der Diagnose und Beurteilung degenerativer Gelenkerkrankungen, wie z.B. Arthrose. Durch hochauflösende Bilder ermöglicht sie die Visualisierung von Veränderungen im Gelenkknorpel, den umgebenden Weichteilen (z.B. Menisci und Bänder) und der Knochenstruktur. Dies ermöglicht eine präzise Beurteilung des Krankheitsfortschritts und hilft bei der Planung gelenkerhaltender oder endoprothetischer Behandlungsstrategien.
Bei Unfällen bietet die MRT eine detaillierte Darstellung von Weichteilverletzungen wie Bänder- oder Sehnenrisse sowie von Knochenbrüchen. Sie ermöglicht eine genaue Lokalisierung und Beurteilung des Ausmaßes der Verletzungen, was für die Entscheidung über die optimale Behandlung wichtig ist.
Durch die Nicht-Invasivität und die Möglichkeit, verschiedene Gewebestrukturen genau zu unterscheiden, ist die MRT ein unverzichtbares Instrument in der orthopädischen Diagnostik. Sie ermöglicht eine frühzeitige und präzise Diagnosestellung, was zu einer effektiveren Behandlung und einer verbesserten Patientenversorgung führt.

MRT des Beckens

Die MRT ermöglicht eine präzise und detaillierte Darstellung der inneren Strukturen des Beckens, einschließlich der Gebärmutter, der Eierstöcke, der Blase und des Darmes. Dadurch kann etwa Endometriosegewebe identifiziert werden, das außerhalb der Gebärmutter wächst. Dies hilft Ärzten bei der Diagnose und Beurteilung des Ausmaßes der Erkrankung. Auch Tumore im Beckenbereich, ob gutartig oder bösartig, können mithilfe der MRT frühzeitig erkannt werden, was entscheidend ist für die Behandlungsplanung. Bei Patientinnen und Patienten mit Leistenschmerzen kann die MRT Ursachen wie Muskelverletzungen, Hernien oder Probleme mit den Hüftgelenken aufdecken. Die Ergebnisse der Untersuchung ermöglichen eine individuelle Behandlungsplanung, ob zur Schmerzlinderung, zur Entfernung von Tumoren oder zur Behandlung von Endometriose.

MRT der Oberbauchorgane und Gallenwege

Die Magnetresonanztomographie (MRT) von Leber, Bauchspeicheldrüse und Gallenwegen ist ein fortschrittliches diagnostisches Verfahren, das präzise Einblicke in diese lebenswichtigen Organe bietet. Dadurch ermöglicht sie es Ihrem behandelnden Arzt, auch geringfügige Veränderungen oder Anomalien zu erkennen. Die MRT kann Lebererkrankungen wie Fettleber, Lebertumore, Zysten und Entzündungen genau identifizieren. Bei Leberzirrhose ermöglicht ein speziell für die Leber entwickeltes Kontrastmittel den Ausschluss bösartiger Tumore, die bei diesem Krankheitsbild auftreten. MRT der Gallenwege und der Bauchspeicheldrüse dient der Diagnostik einer Gallenblasen- oder Bauchspeicheldrüsenentzündung. Tumore der Bauchspeicheldrüse und Gallenwege – welche häufig mit einer schlechten Prognose einhergehen – werden in der Magnetresonanztomographie erkannt. Diese trägt dabei entscheidend zur Diagnose und individuellen Behandlungsplanung bei.

Erstdiagnostik und Nachsorge von Tumorpatienten

Bei der Erstdiagnose von Tumoren ist die Bestimmung des Ausbreitungsgrades (Staging) von großer Bedeutung. Hierbei wird festgestellt, wie sich das Wachstum des Tumors entwickelt hat und ob er bereits in andere Gewebe oder Organe gestreut hat. Die MRT bietet sehr kontrastreiche Bilder, die Ihrem behandelnden Arzt helfen, die genaue Lage und Größe des Tumors sowie seine Auswirkungen auf umliegende Strukturen zu beurteilen. Dies ermöglicht eine präzise Diagnose und die Entwicklung eines individuellen Behandlungsplans. Daneben ist nach einer Tumorbehandlung die regelmäßige Nachsorge entscheidend, um sicherzustellen, dass keine Rückfälle oder Metastasen auftreten. Um Tumorpatienten zu entlasten, bietet unsere Praxis für Radiologie in Löbau Ihnen exklusiv die Möglichkeit, die MRT-Untersuchung oder kombinierte MRT- und CT-Untersuchungen mehrerer Organe an nur einem Tag vorzunehmen.

MRT bei Angstpatienten

Eine MRT-Untersuchung kann unter Umständen für manche Patientinnen und Patienten eine emotional belastende Erfahrung sein. Die Enge des MRT-Geräts kann beklemmend wirken, ebenso die lauten Geräusche während der Untersuchung und die Vorgabe, sich möglichst wenig zu bewegen und ruhig zu atmen. Unser Ziel ist es, Ihnen eine entspannte und unterstützende Umgebung zu bieten. Deshalb legen wir großen Wert auf eine einfühlsame und individuelle Betreuung und nehmen uns die Zeit, Ihre Sorgen und Ängste anzuhören und Ihnen die notwendige Unterstützung zu bieten. Bei fast allen MRT-Untersuchungen verwenden wir besonders geräuscharme Sequenzen. Wenn Sie Bedenken haben oder unter Ängsten leiden, zögern Sie nicht, uns anzusprechen. Ihr Wohlbefinden steht bei uns an erster Stelle.

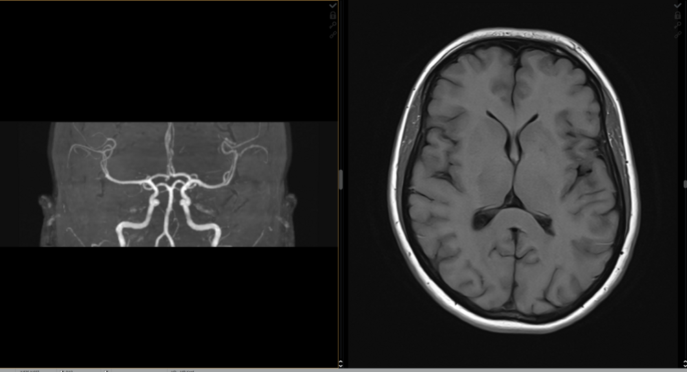
MRT des Kopfes

Bei der Erkennung von Erkrankungen des Gehirns und der Blutgefäße im Kopfbereich kann die Magnetresonanztomographie wichtige Informationen liefern. Sie bietet eine detaillierte Darstellung von Gehirn, Schädel und umgebenden Geweben. Bei häufig wiederkehrenden Kopfschmerzen stellt die MRT einen wichtigen Baustein der Diagnostik dar. Für die Diagnose von Tumoren im Gehirn oder Schlaganfällen werden spezielle MRT-Sequenzen verwendet. Diese Sequenzen sind auf die genaue Visualisierung von Gewebeveränderungen ausgelegt. Die MRT kann sowohl gutartige als auch bösartige Tumore im Gehirn erkennen. Sie ermöglicht die Beurteilung von Größe, Lage und Charakteristik des Tumors, was für die Behandlungsplanung entscheidend ist. Auch Schlaganfälle können durch die MRT frühzeitig erkannt werden. Dies ist wichtig, um schnell die geeignete Therapie einzuleiten und mögliche Schäden zu minimieren.

MRT der Wirbelsäule

Zur Untersuchung von Rückenproblemen, insbesondere im Fall von Bandscheibenvorfällen und Verschleißerkrankungen hat sich die Magnetresonanztomographie als äußerst nützliches diagnostisches Verfahren etabliert. Die MRT ermöglicht eine präzise Darstellung der Wirbelsäule einschließlich der Bandscheiben, Wirbelkörper und Nervenwurzeln. Dadurch können etwa Bandscheibenvorfälle erkannt werden. Bei einem Bandscheibenvorfall verändert die weiche Bandscheibe zwischen den Wirbeln ihre Position und verursacht, indem sie auf Nerven drückt, Schmerzen und Beschwerden. Auch Verschleißerkrankungen wie Arthrose der Wirbelsäule oder entzündliche Erkrankungen (sogenannte Spondylarthritis) können durch die MRT diagnostiziert werden. Ihr behandelnder Arzt kann dadurch den Grad der Degeneration und damit auch die entsprechenden möglichen Behandlungsansätze beurteilen.

MRT bei entzündlichen Erkrankungen

Bei der Diagnose und Überwachung von entzündlichen Erkrankungen der Gelenke und der Wirbelsäule kann die Magnetresonanztomographie eine wichtige Rolle spielen. Bei entzündlichem Rheuma (rheumatoider Arthritis) kann die MRT Entzündungen in den Gelenken identifizieren, die zu Schwellungen, Schmerzen und Bewegungseinschränkungen führen. Auch für Patientinnen und Patienten mit Morbus Bechterew (spondylitis ankylosans) ist die präzise und detailreiche Darstellung der MRT ein wichtiger Bestandteil der Diagnose und Überwachung. Die frühzeitige Erkennung von Entzündungen kann entscheidend sein, um rechtzeitig mit der Behandlung zu beginnen und dadurch Gelenkschäden zu minimieren. Im Rahmen der Verlaufskontrolle gibt die MRT Aufschluss über die Wirksamkeit der Behandlung, sodass ggf. Anpassungen vorgenommen werden können.

MRT der Nieren und Harnwege

Bei Symptomen wie Nierenschmerzen, Blut im Urin oder Verdacht auf Nieren- oder Harnwegsprobleme kann die MRT eine wichtige Rolle bei der Diagnose und Behandlung spielen. Sie liefert hochauflösende Bilder der Nieren, Harnleiter und Harnblase, sodass selbst kleinste Veränderungen oder Anomalien offengelegt werden. Die Magnetresonanztomographie kann Zysten, Tumore und Entzündungen identifizieren und ermöglicht die Beurteilung der Harnwege, um Blockaden oder Verengungen aufzudecken. Die Untersuchung unterstützt Ärzte bei der genauen Diagnose und Behandlungsplanung. Auch zur Verlaufskontrolle von Nierenerkrankungen und zur Planung von therapeutischen Maßnahmen wie Operationen oder Interventionen wird die MRT der Nieren und Harnwege häufig eingesetzt. Lediglich für die Darstellung von Nierensteinen muss häufig auf eine Computertomographie (CT) zurückgegriffen werden.

MR-Enterographie

Die MR-Enterographie ist eine hochmoderne bildgebende Untersuchung, die speziell zur Diagnose und Überwachung von chronisch-entzündlichen Darmerkrankungen (CED) wie Morbus Crohn und Colitis ulcerosa entwickelt wurde. Die MRT-Enterographie bietet eine äußerst präzise Darstellung des Dünndarms und des Dickdarms, was bei der Diagnose von CED von entscheidender Bedeutung ist. Sie kann Entzündungen, Geschwüre und andere Anomalien im Verdauungstrakt identifizieren. Dies unterstützt Ärzte bei der Diagnose von CED und der Beurteilung des Krankheitsausmaßes. Die Untersuchung wird auch zur Verlaufskontrolle von CED eingesetzt, um zu beurteilen, wie sich die Krankheit entwickelt und wie gut die Therapie anschlägt. Im Vorfeld der Untersuchung ist eine Nahrungskarenz einzuhalten. Hierzu informieren wir Sie bei der Terminvergabe.

MR-Angiographie

Die Magnetresonanz-Angiographie (MR-Angiographie) ermöglicht eine präzise Darstellung der Blutgefäße im Körper. So lassen sich beispielsweise die Venen und Arterien im Hals und im Gehirn detailliert abbilden. Dies ist entscheidend für die Diagnose von Schlaganfällen, Aneurysmen oder Engstellen. Auch die präzise Visualisierung der Aorta, der größten Arterie im Körper, ist mittels MRT-Angiographie möglich und dient der Erkennung von Aortenaneurysmen oder anderen Gefäßanomalien. Sie unterstützt durch die Darstellung der Lungenarterien bei der Diagnose von Lungenembolien oder anderen Lungengefäßerkrankungen. Auch die Blutversorgung der Arme und Beine kann durch die MRT-Angiographie untersucht werden, etwa bei Verdacht auf Durchblutungsstörungen oder Gefäßverschlüsse.

Funktionelle MRT der Kiefergelenke

Eine MRT der Kiefergelenke kann die Bewegungen und Strukturen im Kieferbereich darstellen. Die Untersuchung ermöglicht die genaue Beobachtung der Bewegungen des Kiefergelenks beim Öffnen und Schließen (sogenannte funktionelle MRT) und unterstützt so die Diagnosestellung bei ungeklärten Kiefergelenkschmerzen oder Funktionsstörungen des Kiefergelenks. Die MRT zeigt nicht nur die Bewegungen, sondern auch die Strukturen im Kieferbereich, einschließlich Muskeln, Bänder und Knorpel. Probleme wie Verletzungen, Entzündungen oder Knorpelveränderungen lassen sich dadurch erkennen. Die Ergebnisse der Kiefergelenks-MRT ist die Basis für die Entwicklung individueller Behandlungspläne. Diese können unter anderem die physikalische Therapie, das Tragen von Zahnschienen oder in einigen Fällen chirurgische Eingriffe umfassen.

Rotations-MRT

Die Rotations-MRT wird in der Orthopädie bei der Untersuchung der Gelenkstellung der unteren Extremität eingesetzt. Dabei kann es sich um angeborene Veränderungen (sogenanntes X-Bein, O-Bein) oder erworbene Fehlstellungen, z.B. nach Totalendoprothesen (Gelenkprothesen) handeln. Durch die Darstellung der gesamten Beinachse bietet sie eine sehr genaue Möglichkeit der Gelenkwinkelbestimmung.